画像をダウンロード 颈椎反弓怎么办 539330-颈椎反弓怎么办
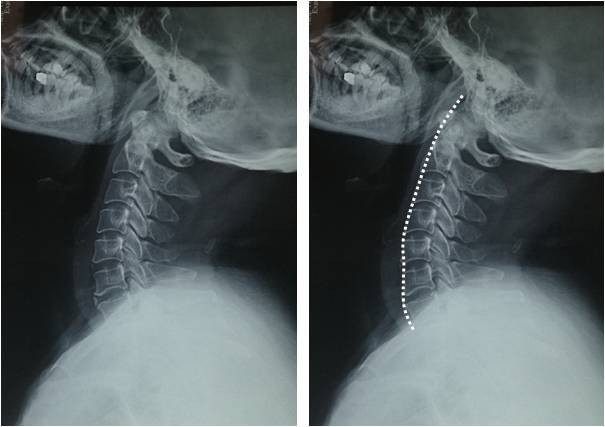
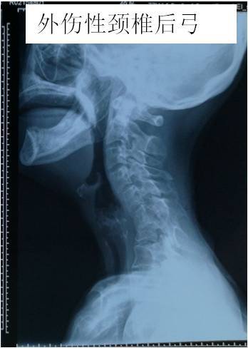
· 颈椎曲度反弓只是提示局部地方有退变,需要根据具体的症状做相应的处理。 如果是伴随颈部的地方疼痛和僵硬,可以选择按摩和热敷;另外就是可以选择药物比如替扎尼定,还可以选择一些膏药比如消痛贴膏有助于缓解。 如果是伴随上肢的麻木等不舒服,那么还可能是压迫了神经根,最好是完善颈部的磁共振检查,可以更为准确的判断病情。 平时要注意个人 · 知道颈椎反弓的成因,接着对因下药。 如果已经颈椎反弓了,可以适当地做一些牵引治疗。 如果病情较轻,通常采用坐位牵引,除此之外,还可以使用卧位牵引,可以在专业人士的指导下适当地借助一些工具,牵引的过程中,要注重牵引的强度,角度,时间以及重量。1510 · 颈椎反弓 一种常见颈椎病。颈椎有正常的生理弯曲,如果没有生理弯曲,甚至向相反的方向弯曲,称为反弓。 人类属于高级脊椎动物,颈椎"c"形向前的生理弧线保证了颈椎活动的高度灵活性,但人们常常发生违背颈椎生理曲线的姿态和活动。
 
 颈椎反弓 搜索结果 哔哩哔哩 Bilibili
颈椎反弓怎么办
颈椎反弓怎么办-核心提示:颈椎反弓是怎么一回事呢? 颈椎反弓怎么办? 好好的颈椎"说反就反",患者面对颈椎反弓可不能大意! 下文将带你了解颈椎反弓的"那些事",让你"心中有数"。 颈椎是个"磨人的小妖精",不仅容易劳累酸痛,还可能"造反"。 现在的人对于自己的身体 健康 都是十分重视的,都养成了定期去医院检查的好习惯,有些人在一次检查中发现的颈椎反弓 · 五、产生颈椎反弓了怎么办? 康复保守治疗。产生颈椎反弓的朋友不必过于慌张,90%颈椎反弓的患者可以通过康复治疗减轻甚至消除不良症状,改善颈椎曲度。 1、理疗 传统的颈椎牵引、超短波、干扰电等理疗方式于炎症的消除、疼痛的控制有一定作用。此外



小孩颈椎反弓 别着急 这里有办法 胥海斌谈颈椎 微信公众号文章阅读 Wemp
· 李国民:颈椎反弓该如何治疗? 肩颈腰疼痛人受罪,找不对人花钱白费!你好,我是肩颈腰专家李国民。每天写一篇文章,分享我的实际治疗经验和案例,希望给你些启发和帮助,这是第603篇原创文章。 一、颈椎反弓怎么办? 今天早上有个朋友咨询我,他问我颈椎反弓应该怎么治疗。2302 · 颈椎生理曲度反弓怎么办 发布时间 0223 音频时长 01分02秒 14 1 语音文字 颈肩用力过久的前屈固定姿势,导致颈部屈肌痉挛,使维持颈椎生理曲度的诸肌失调、压力量失衡,颈椎出现代偿性反弓状态。患者可能出现颈肩部的酸痛不适、脖子僵硬、活动受限。0506 · 健身时脊柱过度反弓怎么办? 自己平时正常站立时,脊柱的状态,是否正确,有没有体态问题,(高低肩,脊柱侧弯,颈椎腰椎变直等)如果已经有体态问题,那我还是建议您先矫正体态再负重健身,不然在错误体态下负重,只会越练越歪。如果检查体态没问题,但是脊柱还是反弓,不正。那
2500 · 那么颈椎反弓,应该怎么去调理呢,首先你应该要知道你反弓的原因在哪里 1、颈椎压力过大 这个颈椎的压力,主要来自于椎体上面,也就是你的头部,因为你经常有一个姿势,就是头部往前探 只要你的头部往前510°,那么你的颈椎所受的压力,就会增加30401612 · 颈椎反弓 颈椎反弓会引起什么症状 颈椎反弓怎么治疗最好的方法 本站资源均系收集于各大网站,本站只提供web页面服务,并不提供影片资源存储,也不参与录制、上传 若本站内容无意侵犯了贵司版权,请给网页底部邮箱地址来信,我们会及时处理和回复,谢谢颈椎生理曲度变直、反弓,怎么办?教你1招,方法简单实用 详情 收起 undefined的影评 0214 颈椎生理曲度变直、反弓,怎么办?教你1招,方法简单实用 01 后脑勺疼痛总是找不到原因?从这2个方面入手,不要只关注颈椎病 0227 夜间上肢酸痛、手发麻怎么办?试着按摩这个肌群5分钟,效果
1915 · 第一,颈椎反弓是一种普遍颈椎病。 颈椎骨有一切正常的生理弯曲,要是没有生理弯曲,乃至向反过来的方位弯折,称之为反弓。 颈椎反弓是组成颈椎病最常见的病理基本,而不适度用枕是造成 颈椎反弓的关键原因。 第二,颈椎反弓的严重后果: 颈椎反弓会造成许多 病症。 最先是颈椎骨主动脉受力,会造成大脑供血不足,次之是神经受力,造成神经根占位1 问: 颈椎反弓有什么后果,要怎么办 答: 颈椎反弓是会造成全身性的不正常的疾病。对人的危害极大。颈椎生理曲度变直或者颈椎生理曲反弓而造成颈椎管狭窄,挤压了脊髓而出现呕吐,眩晕,易昏撅摔倒而发生危险。脊髓病例一: 病情描述 颈椎曲度反弓如何解决颈椎曲度反弓如何解决 问题回答 病情分析:你好,预防颈椎病主要是减缓颈椎间盘退变的进程不良睡眠体位,工作姿势不当,不适当的体育锻炼都是颈椎骨关节退变的常见原因指导



颈椎生理曲度变直一定是病吗 背后原因竟然这么多 健康资讯 娱乐新闻网



颈椎反弓越来越常见 严重还会引起瘫痪 中国医疗
颈椎患者平时应该注意: 1,睡觉时不可俯着睡,枕头不可以过高,过硬或过平 可同时用下方配合用:买5斤蚕砂做个小枕头,每天睡觉放在颈部下,就会改善颈椎的不适 2,避免和减少急性损伤,如避免抬重物等 · 好好的颈椎,怎么就"反了"?颈椎反弓怎么办 常穿雪地靴致残?脚弓深、未成年人慎穿 ;0318 · 颈椎反弓不宜牵引治疗 如经常出现"落枕"或颈肩臂痛,转头性眩晕,应及时到骨科医生处就医确诊,切忌盲目推拿而留下后患。 令人烦恼的颈椎病,专家告诉你怎么办 1801;



正常生理曲度 颈椎曲度变直 颈椎反弓 信息阅读欣赏 信息村 K0w0m Com
 
 


小科普 颈椎反弓 该怎么办 颈椎病 症状 治疗方法 检查
· 得了颈椎反弓,怎么办 5 我才23岁啊,拍片子医生说是颈椎反弓,但是也没有怎么说治疗方法,就是平常多注意运动脖子,有条件做下牵引和按摩。 但我最近又感到恶心,头痛,怎么办啊?0800 · 李国民:颈椎生理曲度反弓怎么治疗? 你好,我是肩颈腰专家李国民。每天写一篇文章,分享我的实际治疗经验和案例,希望给你些启发和帮助,这是第7篇原创文章。 一、你的片子是否提示颈椎生理曲度反弓 今天清早的时候,有位朋友私信我,说他是颈椎生理曲度反弓,问我怎么治疗? 一2500 · 李国民:颈椎第5、6节反弓有什么办法? 做对治疗,远离瘫痪!你好,我是肩颈腰专家李国民。每天写一篇文章,分享我的实际治疗经验和案例,希望给你些启发和帮助,这是第844篇原创文章。 一、你颈椎反弓的原因是什么? 昨天有位朋友,她说他是颈椎第5、6节反弓,而且经常头晕,没办法
 
 


岁女孩颈椎反弓30度坐圈过山车脖子动不了 每日头条
 
 


小科普 颈椎反弓 该怎么办 颈椎病 症状 治疗方法 检查
· 产生颈椎反弓的朋友不必过于慌张,90%颈椎反弓的患者可以通过康复治疗减轻甚至消除不良症状,改善颈椎曲度。 1、理疗 :传统的颈椎牵引、超短波、干扰电等理疗方式于炎症的消除、疼痛的控制有一定作用。



颈椎反弓正确睡姿 第1页 要无忧健康图库



颈椎反弓图片 信息阅读欣赏 信息村 K0w0m Com



颈椎压迫神经 导致右手麻胀痛 颈椎反弓 郭氏正骨
 
 


躺着玩手机 用颈椎按摩仪来拯救你的颈椎 颈养
 
 


颈椎反弓 搜索结果 哔哩哔哩 Bilibili
 
 


頸椎反弓枕頭睡覺專用修復矯正器人按摩牽引理療枕成人勁椎



颈椎病查出 颈椎反弓 怎么办 疾病常识 北京预约挂号平台 耳鼻喉科皮肤科骨科免费预约挂号 灯塔医生 优质的医生资源库



脊椎曲度反弓 第1页 要无忧健康图库



颈椎变直 颈椎反弓不仅仅是枕头的问题 颈椎 枕头 运动 乳胶 颈椎病 楠伢宫怎么样 瑜伽垫 肩颈 回弹 颈椎护理方法 医疗健康 医疗健康其他



请收回你前探的头颈椎反弓如何防治 健康 央视网 Cctv Com



睡前玩手机肩膀酸疼手指麻木颈椎反弓怎么办 一周一讲座 最新资讯 失眠头痛培训 高低肩培训 徒手正骨培训 叶惠阳 正规推拿整脊培训



低头伏案工作时间长 颈椎生理曲度异常该怎么办 专家为您支招 腾讯新闻
 
 


T4xodrnzviilom



请收回你前探的头颈椎反弓如何防治 健康 央视网 Cctv Com



低头族增多 颈椎反弓 患者趋低龄化 怎么办



每天都在 谋杀 颈椎 怎么办



颈椎反弓 变直 肩颈疼痛 怎么办 动作



颈椎反弓什么样 搜狗图片搜索



怎么判断自己有没有颈椎反弓如何预防颈椎反弓 八宝网



小孩颈椎反弓 别着急 这里有办法 胥海斌谈颈椎 微信公众号文章阅读 Wemp



颈椎曲度反弓是什么 工作



大一男生当了半年 低头族 颈椎反弓找上门 健康度
 
 


颈椎反弓 搜索结果 哔哩哔哩 Bilibili
 
 


微博搜索
 
 


颈椎反弓 是什么鬼 知乎



颈椎反弓治疗方法 万图壁纸网
 
 


頸椎枕頭反弓牽引矯正器勁椎病人富貴包專用理療修復糾正硬護頸枕
 
 


颈椎病曲度反弓我们告诉你怎么办 每日头条
 
 


中国科学技术协会学会科普常见颈椎病的几种治疗方法
 
 


每天枕它一小会 再僵硬的颈椎也灵活自如 手机新浪网



Dr怎样看颈椎生理弯曲反弓 图片欣赏中心 急不急图文 Jpjww Com
 
 


颈痛 颈椎曲度变直 反弓 骨质增生怎么办
 
 


小科普 颈椎反弓 该怎么办 颈椎病 症状 治疗方法 检查
 
 


颈椎反弓怎么办 知乎



低头族必备 每天枕8分钟 躺出好身姿 告别颈椎痛 百匠优选 创事记 新浪科技 新浪网



現貨熱賣免運費頸椎枕頭修復睡覺勁椎專用牽引按摩脊椎理療電動護頸椎助睡眠家用矯正按摩富貴包圓頸椎枕頭脊椎反弓勁椎枕加熱熱敷



低头族必备 每天枕8分钟 躺出好身姿 告别颈椎痛 百匠优选 创事记 新浪科技 新浪网
 
 


颈椎反弓是什么意思第1页 驾考预约大全
 
 


展嘉物理治療所



诸暨8岁男孩颈椎反弓脖子不能动这些习惯定要改



颈椎反弓越来越常见 但到底是怎么回事 3u文域
 
 


中国科学技术协会学会科普常见颈椎病的几种治疗方法
 
 


颈椎反弓 是什么鬼 知乎
 
 


颈椎已经反弓了 锻炼能让颈椎恢复吗 肌肉 脊髓 椎管 曲度 网易订阅



不良习惯会诱发颈椎反弓 健康度
 
 


健康跟我做 屈伸 旋转 绕肩 医生教你几招赶走颈椎病
 
 


颈椎反弓矫正方法 西瓜视频



颈椎反弓如何治疗头晕头痛可能是 颈椎反弓 造成的 妈妈网
 
 


李国民 颈椎反弓如何去治疗 肩颈腰专家李国民博客



原来脖子疼的原因是它呀 反弓



不良习惯会诱发颈椎反弓 湘潭金侨医院 金侨医院 湘潭中医医院 中风病专科医院 中风病防治专科医院 风湿痹痛专科医院 椎间盘突出治疗中心
 
 


颈椎反弓挂哪科医生 西瓜视频



摸摸 你的颈椎曲度还正常吗 七木枕 关注颈椎健康 Seven Wood Pillow 新加坡站 Facebook
 
 


李国民 调节颈椎反弓的5种方法 想治好的你不要错过 颈椎病 治疗 脊髓 网易订阅



颈椎反弓 亲睐 哪些人群 北京德胜门中医院 骨科



瑜伽解剖学 颈椎反弓是什么 天天要闻



颈椎曲度反弓怎么治疗 搜狗图片搜索



肢体麻木 恶心 头晕头痛 颈椎曲度反弓惹的祸
 
 


頸椎過直怎麼辦 肩頸疼痛超困擾 運動消息 紅繩運動訓練redcordtraining



Yabo体育官方网站颈椎反弓 变直 肩颈疼痛 怎么办 四中在线



颈椎病已成低龄化趋势 儿童也成颈椎病 重灾区 负面影响更为深远 行业资讯 爱学习护脊学习桌椅



天天快报
 
 


甭管颈椎反弓多少年 中医 4个动作1个空瓶子 脖子3天软和了 健康 品阅网



尚颈枕3号骨科教授发明矫正颈椎变直反弓修复枕热疗磁疗头晕手麻 虎窝淘
 
 


頸椎反弓 頸椎反弓是一種常見頸椎病 頸椎有正常的生理彎曲 如果沒有生理彎 百科知識中文網
 
 


引起颈椎曲度改变的原因 一分钟自测颈椎曲度变直 肌肉 前凸 颈肩部 网易订阅



正常颈椎和反弓颈椎图 第1页 要无忧健康图库



颈椎反弓是一种常见的颈椎病 米粒分享网 Mi6fx Com



颈椎病案例 反弓 头晕 头疼 眼睛干后脑勺疼 颈椎 眼睛干 颈椎病 京通罗斯福广场写字楼自由行热门攻略 罗斯福怎么样 针灸 肩颈 医疗健康 医疗健康其他
 
 


脊柱侧弯常见问题 颈椎反弓怎么办 每日头条
 
 


小科普 颈椎反弓 该怎么办 颈椎病 症状 治疗方法 检查
 
 


颈椎反弓颈椎反弓怎么办 这七点一定要牢记
 
 


什么是颈椎 反弓 一把尺就能告诉你颈椎好不好
 
 


小科普 颈椎反弓 该怎么办 颈椎病 症状 治疗方法 检查



颈椎反弓真人图片 万图壁纸网



请收回你前探的头颈椎反弓如何防治 健康 央视网 Cctv Com



颈椎生理曲度变直怎么办 脖子颈椎变直怎么办 伟平网



颈椎生理曲度反弓图片 图片搜索
 
 


颈椎反弓 是什么鬼 知乎
 
 


Qrp9c422tqt9om



颈椎反弓想逆转 试试这五条 老章说健康 微信公众号文章阅读 Wemp
 
 


颈椎反弓有什么症状 长期低头久坐易患颈椎反弓表现为驼背无精打采 老男人



请收回你前探的头颈椎反弓如何防治 健康 央视网 Cctv Com
 
 


颈椎反弓究竟是什么 知乎



颈椎生理曲度变直甚至反弓针刀如何治疗



为什么颈椎会变直 反弓 试试简易床边颈椎牵引法 健康号 微医



孩子不自觉甩头是怎么回事 龙脊康脊柱专科门诊部



患有颈椎反弓的人怎么治疗比较好 为什么 看完心里有数了 雪花新闻



悟空问答 儿童颈椎反曲怎么纠正 6个回答



若患頸椎反弓慎做後仰改善運動 Oscar 治療師 都市痛症 健康 Lifestyle Channel 經濟通et Net
 
 


益阳市第三人民医院 颈椎反弓是什么 鬼
 
 


颈椎反弓真人图片 西瓜视频



颈椎反弓 成因 相关病症 社会关注 历史版本2 快懂百科



颈椎反弓 变直 肩颈疼痛 怎么办 动作
 

コメント
コメントを投稿